Research Feature

A futuristic manned Moon chariot that draws on the past
A rover and two astronauts are set to traverse the surface of the Moon in a landmark mission set to take place before 2030.

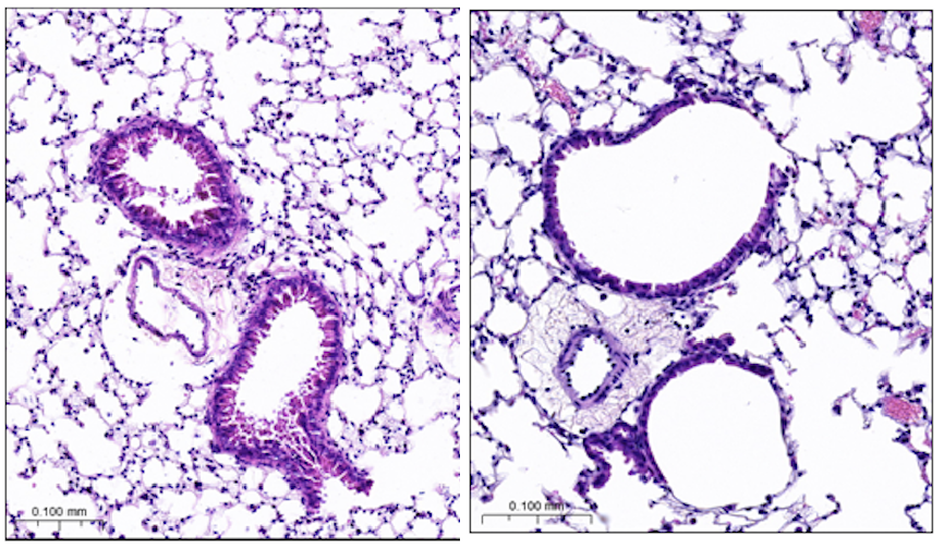
Mouse study hints at potential for asthma ‘cure’, says scientist
His father’s long battle with asthma drove a Tsinghua University researcher to search for a life-changing treatment for the common respiratory disease.

Solar savings are heating up for homeowners
Residential rooftop solar is likely to make increasing financial sense, say Tsinghua researchers.

Zoom-in the natural human skin, and sketch it with intelligent three-dimensional electronics
Created by nature, the human skin shows powerful sensing capabilities that have been pursued by scientists for a very long time. However, it is challenging for today’s technologies to replicate the spatial arrangement of the complex 3D microstructure of human skin, nevertheless its beauty of sen...

Biodegradable medical implants for easier health monitoring and treatment
Medical devices that can be broken down and excreted by the body could reduce the number of surgeries needed to remove implantable sensors and stimulation devices.
010-62793001
webmaster@tsinghua.edu.cn