清华长庚成功切除12岁少年体内巨大神经鞘瘤
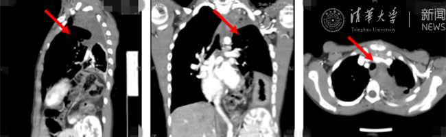
mk(中国)网8月30日电(通讯员 杨峰)如图中所示,本是正常人心脏、左肺的位置,被发于神经鞘的巨大肿瘤占据,导致一位刚满12岁的男孩胸痛、咳嗽、呼吸困难。近日,北京清华长庚医院神经外科与胸外科联手,由神经外科王贵怀主任主刀,成功为男孩切除胸腔巨大神经鞘肿瘤。
患者胸腔内巨大的肿瘤。
半年前,患者经常会出现胸痛、咳嗽和呼吸困难,在当地医院检查发现左侧胸腔巨大占位,左肺及心脏明显受压。王贵怀大夫接诊,仔细查体了解病情,并反复认真阅片后,认为左侧胸腔巨大肿瘤来自于胸椎椎管内,神经鞘瘤可能性大。该肿瘤体积巨大,占据绝大部分胸腔空间,压迫左肺、纵隔大血管及膈肌。
到底要不要手术?不手术,在肿瘤的压迫之下,男孩的胸腔将逐渐失去呼吸的空间;一旦压迫脊髓,则神经受损又将导致瘫痪。手术,难度极大,术中稍有闪失,男孩就有可能因为大出血而死亡。且一旦决定手术进胸,便无退路。
发病的半年时间里,患者父母已带着孩子跑遍了全国多家大型医院,均因手术难度大、风险高、可能会出现大出血以及瘫痪等后果,不予接纳。王贵怀大夫和患者、家属反复沟通,最终北京清华长庚医院神经外科病房收下了患者,神经外科医师团队决定为这位刚满12岁的男孩实施手术,挑战病魔。
王贵怀大夫组织病例会诊讨论,与胸外科副主任医师陈东红达成共识:如此巨大肿瘤除手术外尚无其他有效治疗手段;此手术风险虽高,但有一线希望都应该尽最大努力。团队制定了手术方案及意外情况处理预案后,在输血科马海梅主任及麻醉科张欢主任团队的全力支持下,手术如期进行。
术中发现,肿瘤不仅占据胸腔内大部分空间,且与心脏、主动脉、腔静脉、下肺静脉等组织紧密粘连,一旦分离过程中损伤大血管致出血,受肿瘤阻挡的情况下,病人将很快因大出血死亡。在胸外科团队的协助下,手术团队顶住巨大压力,经过5小时的连续奋战,肿瘤被完整移除胸腔。在麻醉科团队的协助下,患者术中生命体征稳定,心率及血压控制良好,平稳地度过了手术麻醉期,术后返回重症监护病房。

术后复查影像,患者体内的肿瘤已被切除。

术后神经外科王贵怀医师(左)与胸外科陈东红医师一起查房。
在急重症许媛主任团队的精心治疗下,患者顺利转回神经外科病房。目前,患者已经康复出院。
供稿:清华长庚医院 编辑:李华山